Юлия Пасичная

Подмосковные нейрохирурги сохранили жизнь пациента после тяжелого инсульта

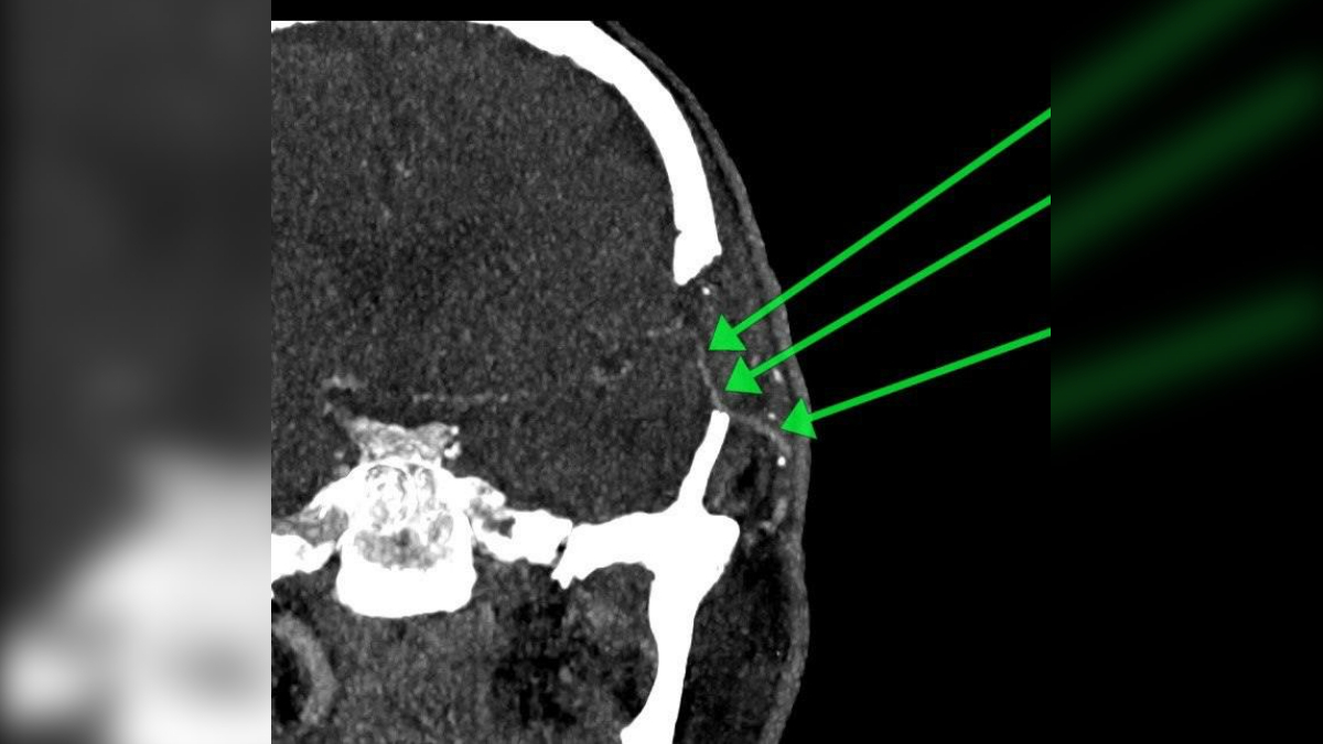
Хирурги подмосковной больницы спасли от риска повторного инсульта пациента. Они придумали способ, который позволил крови питать мозг в обход перекрытой первым инсультом артерии.

Подмосковные нейрохирурги сохранили жизнь пациента после тяжелого инсульта Фото: пресс-служба Министерства здравоохранения Московской области

Врачи придумали «обходной путь» для кровотока, потому что после инсульта одна из артерий, питавших мозг, оказалась заблокирована. Из-за этого мозг пострадавшего начал работать с перебоями, возник высокий риск вторичного инсульта и огромных проблем для здоровья.

Тогда решили создать запасной проход для крови. Четыре часа хирурги сшивали сосуды, создавая новый путь кровотоку. Всё получилось: угрозу устранили, здоровье пациента спасли. Через месяц контрольное обследование показало, что созданный «обходной путь» работает без нареканий, сообщил портал 360.ru со ссылкой на пресс-службу Министерства здравоохранения Московской области.

Петербуржцы в январе сдали на переработку 332 килограмма старых вещей
Общество 9 февраля

Петербуржцы в январе сдали на переработку 332 килограмма старых вещей

Петербуржцы 9 февраля несли живые цветы к могиле Достоевского
Культура 9 февраля

Петербуржцы 9 февраля несли живые цветы к могиле Достоевского

Светофоры Петербурга будут перенастраивать по федеральным ГОСТам
Авто 9 февраля

Светофоры Петербурга будут перенастраивать по федеральным ГОСТам

Комитет по транспорту Петербурга наградил юных корреспондентов Медиацентра ДОЛ «Зарница»
Общество 9 февраля

Комитет по транспорту Петербурга наградил юных корреспондентов Медиацентра ДОЛ «Зарница»

Читать еще